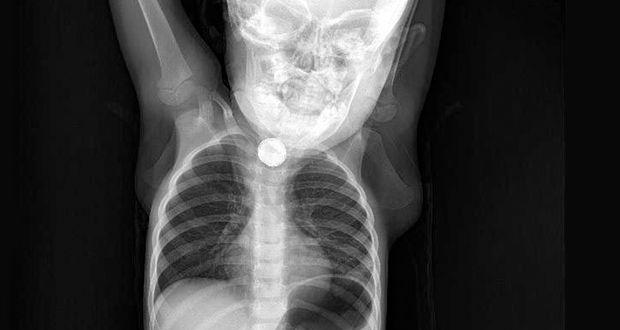
Batman’da Sevim ve İbrahim Ramazanoğlu çiftinin kusma ve ishal şikayetiyle hastaneye götürdüğü kızları Berfin Ramazanoğlu’nun pil yuttuğu belirlendi. Boğazında yanıklar oluşan Berfin’in boğazının alt kısmındaki pil, operasyonla alındı

Batman’da Sevim ve İbrahim Ramazanoğlu çiftinin kusma ve ishal şikayetiyle hastaneye götürdüğü kızları Berfin’in (1,5) yassı pili yuttuğu belirlendi. Yemek borusunda ciddi yanıklar meydana gelen Berfin’in boğazının alt kısmındaki pil, operasyonla alındı.
3 AY ÖNCE PİL YUTMUŞTU
DHA’nın haberine göre; Batman’da yaşayan Ramazanoğlu çifti, bulantı, iştahsızlık ve ishal beliren kızları Berfin’i Batman Devlet Hastanesi’ne götürdü. Doktorun muayene ettiği Berfin’in yemek borusunda cisim tespit edildi. Bunun üzerine Berfin, Elazığ Fırat Üniversitesi Hastanesi’ne sevk edildi. Burada yapılan kontrolde yassı pil yuttuğu tespit edilen Berfin, ameliyata alındı. Küçük kızın boğazının alt kısmındaki pil, başarılı operasyonla çıkarıldı. Ramazanoğlu çifti ise kızlarının, yaklaşık 3 ay önce yerde oynarken, bir cisim yuttuğunu hatırlayınca, pil yutmuş olabileceğini söyledi.
YEMEK BORUSU YANDI
Operasyonu gerçekleştiren Tıp Fakültesi Çocuk Gastroenteroloji, Hepatoloji ve Beslenme Bilim Dalı Başkanı Prof. Dr. Yaşar Doğan, “Tanı amaçlı yaptığımız endoskopi neticesinde, Berfin´in, yassı bir pil yuttuğunu belirledik. Pili çıkardıktan sonra uzun süre orada kalmasından dolayı yemek borusunda ciddi yanıklar meydana gelmişti. Hatta bu yanıklar nerdeyse nefes borusuyla birleşecek şekilde bir oluşuma gidecekti. Hastamız şu an sağlığına kavuştu. Kliniğimizde şu an oral beslenmeye geçildi. Yarın taburcu etmeyi düşünüyoruz. Yine takiplerimiz devam edecek” dedi.
Kaynak:HaberTürk